Orthodontie: Corriger le défaut d’alignement des dents
Cette opération vous offre un alignement dentaire non seulement esthétique, mais surtout fonctionnel. Cela signifie que vos dents du haut s’adapteront idéalement à vos dents du bas. Cette « occlusion » idéale facilitera tant la mastication que l’élocution, et vous aidera à maintenir une hygiène dentaire correcte. A cela s’ajoutera la satisfaction d’un sourire rayonnant.
POSE DES BRAQUETTES (BAGUES) ET RESSERAGE
Dans le cadre du cycle d’un traitement orthodontique, le bilan est une étape importante. C’est à cette étape du cycle de soin orthodontique que l’on est en mesure d’analyser les défauts, malformations squelettiques ainsi que les malpositions dentaires. Une fois ces malformations identifiées, nos chirurgiens-dentistes vont pouvoir établir le plan de traitement orthodontique adapté et le type de braquettes, ou bagues à disposer sur les dents du patient.
Notre Centre Dentaire Safi-Smile peut vous proposer plusieurs types de braquettes dentaires ; des braquettes standards ou des braquettes Damon System.
- Les braquettes standards nécessitent des contrôles réguliers d’une fois par mois.
- Les braquettes Damon System présentent les principaux avantages suivants :
- Le Système Damon emploie une force de ligature plus légère et minimise la friction. Les braquettes Damon sont par conséquent efficaces et confortables.
-Il facilite ainsi les modalités de traitement performantes et permet d’offrir à nos patients un traitement rapide et en moins de rendez-vous.
-Les contrôles sont espacés de trois mois.
-Un nettoyage facile.
Orthodontie linguale
Le système Incognito permet de traiter la majorité des problèmes orthodontiques.
c'est une technique invisible et fiable permettant de corriger l’alignement des dents et des mâchoires.
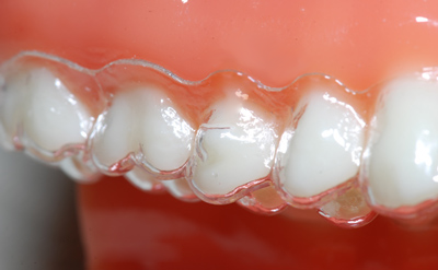
Gouttière invisible
Les gouttières invisibles sont des appareils dentaires récents parfaitement adaptable à la forme des dents et qui sont conçus pour déplacer les dents en douceur.
Portées toute la journée et toute la nuit, on peut enlever les gouttières pendant les repas. Elles ne gênent pas trop l'élocution et sont un peu moins douloureuses que les bagues.
L'avantage majeur des gouttières est leur discrétion et leur facilité d'entretien. Comme on les retire pour se brosser les dents, l'hygiène dentaire est plus simple qu'avec des bagues. Il n'y a pas non plus d'endommagement de l'émail dentaire.
Les gouttières peuvent être portées 21h/jour et doivent être changer toutes les deux semaines environ, et voir son orthodontiste en général toutes les 6 semaines pour s'assurer du bon déroulement du traitement.

