La prothèse dentaire
La prothèse dentaire est la partie de la dentisterie qui s'occupe de remplacer les dents absentes.
Fonctions de la prothèse
Une prothèse dentaire est donc, un dispositif destiné à remplacer une ou plusieurs dents manquantes et leurs tissus de soutien (os et gencive) qui se seraient résorbés, ou plus simplement à reconstituer une dent fortement délabrée. Suivant qu'elle peut ou non être mise en place et ôtée par le patient, la prothèse dentaire est qualifiée d'amovible ou d'inamovible. Il existe aussi des prothèses maxillo-faciales. La première qualité requise d'une prothèse est de ne pas nuire à la santé locale et générale du patient. Exécuter une prothèse reste avant tout un acte médical, même si une partie des tâches techniques est confiée à des collaborateurs techniciens de laboratoire. La réalisation d'une prothèse dentaire est complexe, tant au niveau du cabinet dentaire qu'au niveau du laboratoire. Elle nécessite de nombreuses étapes pour atteindre et optimiser le résultat qui dépend de nombreux compromis anatomiques, morphologiques, cosmétiques et techniques.
Types de prothèse dentaire
La prothèse amovible
Une prothèse amovible complète communément appelé Dentier, remplace la totalité des dents d'une arcade ainsi que les tissus de soutien (os et gencive) qui se modifient toujours après les extractions. Elle recouvre l'entièreté de la crête résiduelle et en plus, au maxillaire supérieur, l'entièreté de la voûte palatine. Sa rétention découle du "principe de la ventouse", la muqueuse buccale jouant le rôle du joint de caoutchouc.
Une prothèse partielle amovible est constituée soit d'une base complètement en résine servant de support aux dents artificielles, soit d'une armature métallique en chrome-cobalt ou en titane (appelée châssis) garnie de selles acryliques supportant les dents de remplacement. La rétention de cette prothèse est assurée par des crochets qui s'insèrent sur des dents naturelles, éventuellement couronnées. Plus rigide et plus résistante, elle est préférée dans la majorité des cas.
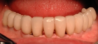
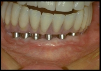
La prothèse inamovible ou fixée
La prothèse dite inamovible ou fixée peut être soit une couronne unitaire qui remplace tout ou partie d'une dent délabrée, soit un pont (bridge) qui remplace une ou plusieurs dent(s) absente(s) en prenant appui sur des dents couronnées voisines de l'édentement. La fixation se fait par emboîtement mécanique toujours renforcé et rendu étanche à la salive par un scellement ou un collage. Ce type de prothèse suppose qu'un meulage des dents leur donne une forme permettant un emboîtement précis et garantisse l'épaisseur souhaitée aux matériaux de substitution (métal et/ou céramique). La mutilation nécessaire peut atteindre et même dépasser 50 % du volume de la dent pour une restauration scellée (couronne) généralement utilisée sur une dent plus ou moins délabrée et se limiter à quelques pourcents lorsque le bon état des dents permet la réalisation d'ancrages pelliculaires collés.

